Welcome to WIAD KOREA

Face Plastic
Surgery

Welcome to
WIAD KOREA

Face Plastic
Surgery

術後不產生二次角的纖細正面線條
WIAD長曲線方下巴+皮質骨切除
術後不產生二次角的
纖細正面線條
WIAD長曲線方下巴
+皮質骨切除
  • 下頜角切除術
    切除下頜角的手術,
    與側顎線相關
  • 皮質切除術
    切除三層下頜骨的
    最外層皮質與正面效果直接相關
將下頜角切除術(Angle resection) 和皮質切除術(Corticectomy) 並用,
實現自然明顯的改善效果。
將下頜角切除術(Angle resection) 和皮質切除術(Corticectomy) 並用,實現自然明顯的改善效果。
讓你的美猶如天生麗質
長曲線方下巴縮小術的特點
透過3D CT更精確分析,選擇適合每個人的矯正方法
採用最尖端的3D CT檢測,精確分析測量骨骼
· 引進快速掃描低輻射的Green16型裝置
· 三維立體式診斷3D CT裝置
· 骨骼精準診斷的面部輪廓矯正
WIAD下頜角手術方法
01. 皮質切除術
正面線條的卓越改善效果
正面線條的
卓越改善效果
如果將我們的臉比作球,如圖所示,耳下方輪廓不是從正面看最寬的部位,而比最寬部位靠後。
因此除了耳下方輪廓外翻的少數情況,下頜角切除術不會縮小下頜寬度。
WIAD方下巴縮小術透過將皮質整體切除(full thickness corticectomy),實現最卓越的正面改善效果。
如果將我們的臉比作球,如圖所示,耳下方輪廓不是從正面看最寬的部位,而比最寬部位靠後。 因此除了耳下方輪廓外翻的少數情況,下頜角切除術不會縮小下頜寬度。 WIAD方下巴縮小術透過將皮質整體切除(full thickness corticectomy),實現最卓越的正面改善效果。
下頜角切除術
切除下頜角時,切除部位從正面看角度不夠明顯。
皮質切除術
皮質切除術可以明顯縮小從正面看不見部位的線條。
02. 長曲線方下巴縮小術
WIAD方下巴縮小術,1.5cm的細節
WIAD方下巴縮小術,
1.5cm的細節
如果耳下方頜角切除過度,會變成不自然的“刀削臉”。
這是為什麼呢?因為耳下方頜角切除越多,會讓臉型越尖的錯誤想法所致。耳下方頜角與正面線條沒有直接關係。
耳下方頜角與耳垂距離維持在1.5cm左右,才更自然。另外,過度切除耳下方頜角容易產生二次角,這是因為截骨線的坡度不夠緩和。
WIAD長曲線方下巴縮小術在耳下保留1.5cm的自然距離,使下頜緣曲線柔美。
如果耳下方頜角切除過度,會變成不自然的“刀削臉”。 這是為什麼呢? 因為耳下方頜角切除越多,會讓臉型越尖的錯誤想法所致。 耳下方頜角與正面線條沒有直接關係。耳下方頜角與耳垂距離維持在1.5cm左右,才更自然。 另外,過度切除耳下方頜角容易產生二次角,這是因為截骨線的坡度不夠緩和。 WIAD長曲線方下巴縮小術在耳下保留1.5cm的自然距離,使下頜緣曲線柔美。
正面看也擁有纖細流暢的臉部線條
長曲線方下巴縮小術的特點
  • 01
    前下頜也呈現纖細V型
  • 02
    不變刀削臉, 不產生二次角
    自然的下頜線
    不變刀削臉, 不產生二次角 自然的下頜線
  • 03
    無需固定
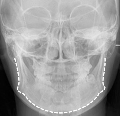
    X光拍攝下也乾淨利落
    無需固定X光拍攝下也乾淨利落
WIAD方下巴縮小術案例
案例 01
WIAD的長曲線方下巴縮小術 + 皮質切除術可以明顯改善面部線條。
WIAD的長曲線方下巴縮小術
+ 皮質切除術可以明顯改善面部線條。
  • Before
    長曲線方下巴
    + 皮質切除手術後 前
  • After
    長曲線方下巴
    + 皮質切除手術後 後
案例 02
WIAD方下巴縮小術案例
  • Before
    長曲線皮質切除術
    + 下巴前移術後 前
  • After
    長曲線皮質切除術
    + 下巴前移術後 後
讓你的美猶如天生麗質
WIAD下巴縮小術
  • 追求自然美麗的
    眼型美感
    追求自然美麗的眼型美感
    WIAD為您打造猶如天生麗質 與生俱來的自然美
  • 豐富的手術經驗和
    精湛的手術技術
    豐富的手術經驗和 精湛的手術技術
    發表多篇論文和商標註冊 受到全世界認可的技術
  • “Let Me In Thailand 1~3季
    明星專家醫生
    “Let Me In Thailand 1~3季 明星專家醫生
    全世界最具代表性的整形節目 "Let Me In"的專家指導醫生。
Scroll