01.
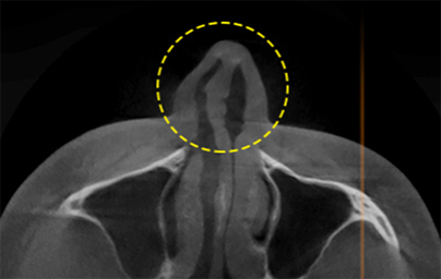
平平的正面和側面
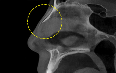
矮鼻

拍攝速度快, 將放射線輻射降低到最小的Green 16 尖端儀器
透過立體的骨骼圖進行精準診斷的 3D CT
在精確的診斷基礎上, 指定精準的手術計劃